Hip Replacement Surgery Warrnambool Dr Nathan Kirzner

Total Hip Replacement

A total hip replacement can be life changing — taking away constant pain, restoring mobility, and bringing back independence. With careful surgical planning, advanced technology, and structured rehabilitation, the vast majority of patients experience dramatic and lasting improvements in their quality of life.

What is a total hip replacement?

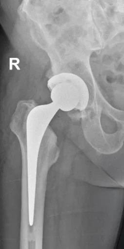
A total hip replacement (hip arthroplasty) involves removing the damaged ball (femoral head) and socket (acetabulum) of the hip joint and replacing them with smooth, artificial components made from metal, ceramic, or highly durable plastic.

The hip is a ballandsocket joint, designed to carry weight and move freely in multiple directions. When arthritis or injury destroys the cartilage lining, the joint becomes painful, stiff, and unstable. A replacement restores smooth movement, aligns the leg properly, and significantly relieves pain — dramatically improving mobility and daytoday quality of life.

Hip Replacement Surgery Warrnambool Dr Nathan Kirzner
Hip Replacement Surgery Warrnambool Dr Nathan Kirzner
View All Hip Surgery

Who Should Consider Hip Replacement?

You may be a candidate for hip replacement if you have:

  • Persistent, debilitating hip pain affecting sleep and daily life

  • Difficulty walking, climbing stairs, or putting on shoes/socks

  • Stiffness or loss of hip motion that limits activity

  • Pain not relieved by nonsurgical treatments (medications, injections, physiotherapy)

The most common reason is advanced osteoarthritis, but other causes include rheumatoid arthritis, avascular necrosis (poor blood supply leading to bone collapse), hip dysplasia (abnormal childhood hip development), and posttraumatic arthritis after an injury.

How is Hip Replacement Performed?

Mr. Kirzner performs total hip replacement surgery through anterior and posterior approaches depending on patient anatomy and pathology. Both approaches have excellent results with different risk profiles, however, comparable over revision rates.

A hip replacement procedure is typically performed under general anesthesia or spinal anesthesia (numbing from the waist down). It usually takes about 1 to 2 hours to complete.

The steps involved in hip replacement surgery include:

Approach:

Anterior Approach

  • Minimally invasive incision at the front of the hip.

  • Avoids cutting major muscles, using a natural muscular plane.

  • Often leads to quicker recovery and fewer restrictions postoperatively.

Posterior Approach

  • Incision along the side towards the buttock.

  • Involves splitting the gluteus maximus tendon, which is repaired during surgery.

  • A traditional and highly reliable approach with very low longterm complication rates.

Bone preparation:

  • The damaged femoral head (ball) and the worn-out acetabulum (socket) are removed

  • The acetabulum is prepared using reamers (large cheese graters) and the femur using broaches to ensure proper sizing and fit of the components.

  • Robotic assistance may be used in order to increase the accuracy of bone preparation and improve the implant positioning

Implantation:

  • Artificial implants made of cobalt chromium and titanium alloys are positioned to recreate the joint surfaces and restore alignment and function.

  • The femoral stem will be inserted into the femur (thigh bone), and the new acetabulum is placed into the pelvis. These can be either uncemented or cemented depending on your bone quality.

  • The femur is fitted with an artificial stem, topped by a metal or ceramic ball, and the acetabulum is lined with a plastic, metal, or ceramic cup.

  • Steps are taken to achieve correct leg length, mobility, and joint stability as this ensures stable function and longevity of the hip implant.

Recovery & FollowUp Timeline

2 Weeks: The wound is kept clean and dry. At your review, dressings are removed and healing is checked. Most patients are walking with little or no support by this stage. Dissolvable sutures mean no stitches need removing.

6 Weeks: Patients are usually walking independently without crutches, off all strong pain relief medication, and back to driving and light work. Hip precautions are generally lifted around this time, depending on the surgical approach used.

3 Months: A repeat clinical check and Xray is performed. Daily activities should be much easier, and walking distances are longer. By now, most patients feel far more mobile and stable than before surgery.

12 Months: Most patients have achieved a painfree hip with excellent function and range of motion, allowing return to lowimpact activities such as hiking, cycling, golf, and swimming. Xrays are performed to confirm stable implant fixation.

Longterm: If all progresses as expected, followup Xrays and assessments are performed at 5year intervals to monitor implant health. Most modern implants last 20 years or more.

Learn More About Total Hip Replacement

What are the risks of Hip Replacement Surgery?

Hip replacement surgery is generally safe but, like any major procedure, it carries risks. These include:

  • Blood clots: in the leg veins, which can travel to the lungs (pulmonary embolism). This risk can be reduced by early movement, blood thinners, and compression devices.

  • Infection: which is minimized by sterile surgical techniques and antibiotics. If you are concerned about an infection, please call the rooms and do not start antibiotics until speaking with Mr. Kirzner

  • Dislocation: The new hip joint may dislocate, especially in the first few months after surgery. The anterior approach has a lower dislocation rate, and with use of technology the risk is decreased.

  • Leg length discrepancy: Many in the community have a small leg length discrepancy and aren’t even aware of it. After a hip replacement you will often feel longer than before surgery as your body has become accustomed to a short leg from arthritis. This feeling often settles with time. True leg length discrepancy is minimised with careful intraoperative planning. Lengthening or shortening the leg slightly may be apart of the surgical plan to improve your outcome.

  • Implant problems: loosening, wear, or rarely, mechanical failure may occur over time, sometimes requiring revision surgery. Most implants last over 20 years nowadays.

  • Nerve or blood vessel injury: though this is uncommon, nerve or blood vessels around the hip can be injured during surgery. Thigh numbness to the lateral thigh is relatively common with a direct anterior approach incision, this is due to damage/injury to the superficial nerve supplying the skin (lateral femoral cutaneous nerve).

  • Dissatisfaction or ongoing pain: Rarely patients report ongoing pain and lack of satisfaction, often due to other sources of referred pain (lumbar spine, sacroilliac joint or other), tendinopathic conditions and/or muscle weakness. Every effort is made to avoid this with correct diagnosis, prehabilitation, and extensive discussions.

We will go through your personal risk profile and ensure that every step is taken to minimise complications and maximise success. The fitter and stronger you are prior to your surgery, the safer and quicker your recovery will be and the more you will get out of your knee.

What does the recovery look like?

  • Most people stay in hospital 1–4 days, mobilising the same day as surgery.

  • Early rehabilitation focuses on regaining walking ability and strength.

  • Significant pain relief is usually experienced by 6 weeks, with steady improvement up to a year.

  • Return to normal daily activity is common within 2–6 weeks, though full strength and flexibility take longer.

  • Over 90% of modern hip replacements last at least 20 years.

Will I Need Hospital-Based Rehabilitation?

This depends on individual needs, age, and recovery rate. Many people begin rehab in hospital and then continue as an outpatient or with home exercises; some may need a short inpatient rehabilitation stay if extra support is required.

Will it Set Off the Metal Detector at an Airport?

Yes, it's possible that the metal components in a knee replacement will set off airport metal detectors. Be proactive and advise the security guards that you have had a hip replacement. Having a letter or medical certificate will not prevent these security measures.

When Can I Drive After a Hip Replacement?

To drive you will need to be off all strong pain relief and crutches and have the ability to perform an emergency stop safely. For most patients this is 3 weeks for a left hip (automatic car) and 4-6 weeks for a right hip.

When Can I Fly After a Hip Replacement?

Short flights are often safe within a few weeks after surgery, but longer flights may increase the risk of blood clots. In general, precautions like compression stockings and in-seat exercises are recommended for several weeks.

When Can I Swim After a Hip Replacement?

Participating in pool-based rehabilitation or swimming is not recommended for 4 weeks after your operation as it may increase the risk of infection.

Do I Need Antibiotics After a Hip Replacement for Dental Work?

For the first 3 months following a hip replacement you should be given antibiotics by your dentist if you require urgent dental work. This is to prevent bacteria from your mouth entering your bloodstream and travelling to the knee joint.

After 3 months routine antibiotics are not required for dental work unless your immune system is compromised. If you are in doubt, please get your dentist to contact us prior to your dental procedure.

Will I be able to return to sport?

Most patients return to low-impact activities like walking, cycling, golf, swimming, and hiking. Running and other high-impact sports are not recommended due to wear risk.

Is the surgery painful?

We use a multimodal pain control approach, including local anaesthetic, nerve blocks, and tailored medication. Pain is usually well managed, and many patients describe it as far less painful than they expected. Most patients are discharged on medications no stronger than paracetamol and ibuprofen.

Are there any position restrictions after hip replacement?

Due to the risk of dislocation with a posterior approach for the first 6 weeks it is advised to avoid any activities where the hip flexes past 90 degrees and internally rotates. After this point the soft tissues will have healed enough to provide stability and these restrictions can be released. One of the benefits of the anterior approach is that in the vast majority of patients, key muscles and tendons that stabilise the hip joint are not cut during the surgery. This results in a more stable hip joint with a lower rate of dislocation than the posterior approach. Consequently, there are no movement restrictions after anterior approach hip replacement. Any position that does not cause discomfort is allowed.

How should I pace exercise after surgery?

In uncemented components, your bone grows onto and into these components over a 3 month period after surgery. To ensure the components solidly integrate into your bone, it is important to return to activity slowly. A general guide is to walk no more than 2,000 steps per day for each week you are post surgery. Ie. Up to 2,000 steps per day in your second post-operative week.

Hip Replacement Surgery Warrnambool Dr Nathan Kirzner

Schedule an Appointment with Mr Nathan Kirzner

To schedule your appointment please call: (03) 5561 3621 or email: admin@nathankirzner.com.au

Contact Mr Nathan Kirzner